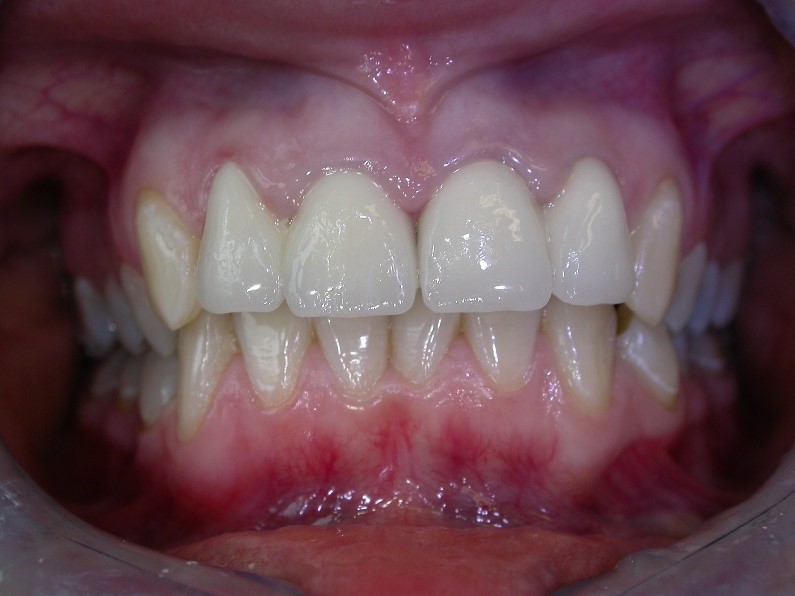
Úprava estetiky chrupu pomocí laboratorně zhotovených keramických korunek.

Korunky zhotovujeme u velkého poškození zubu nebo z estetických důvodů. Nejčastěji používáme celokeramické korunky a metalokeramické korunky. Ošetření probíhá ve dvou návštěvách, v první návštěvě je nutné zub nabrousit a udělat otisk, který posíláme do laboratoře. Z ordinace odcházíte s dočasnou korunkou, která brání pohybu sousedních zubů a mechanicky chrání připravený zub. Po 10ti dnech, tedy času, který potřebuje laboratoř, Vám po sejmutí provizoria, odevzdáme Vaše nové korunky.

Úprava estetiky chrupu pomocí keramických fazet

Keramické fazety jsou vhodným řešením pro estetickou úpravu přední části chrupu ať již z důvodu tvaru zubů, jejich poškození či trvalého nežádoucího zabarvení. Vyžadují menší preparaci vlastního zubu, jsou také zhotovovány v zubní laboratoři, a proto je potřeba dvou návštěv v ordinaci.

Ukázky naší práce